2 Courses | Concepts that Connect 

Flexible commitment - Book one OR book both & save £90

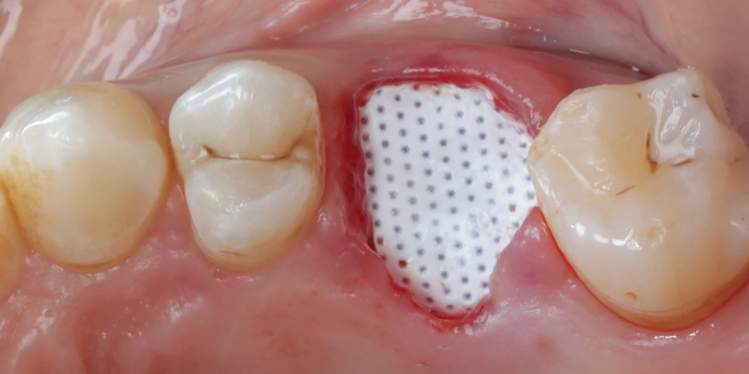
DAY 1 | Socket Preservation

This under utilised yet highly valuable skill forms the foundations to help maintain gingival and alveolar architecture. From the general to the implant dentist, 15c will provide you with a predictable and simplified approach to ensure you can cultivate the ideal conditions for future implant or bridge placement for your patients. Learn surgical tips to improve your extraction and suturing techniques. Become confident in socket debridement and cleansing. Understand and see the different biomaterials available and the advantages and disadvantages of each. Practice how to use all of these skills to neatly and confidently perform socket preservation in practice.

DAY 2 | Aesthetic Prosthetic

Truly spectacular restorative outcomes can only be achieved with an appreciation for the soft tissues and an understanding and knowledge of all ceramic systems. Learn the difference and how to best use and prescribe Emax, Zirconia, PFM, monolithic vs layered to better aid material selection and lab prescription for both tooth based crown, onlays and implant based restorations. Aesthetic Prosthetic will help you understand the prosthetic design elements and features of implants as a restorative dentists and train you to  plan, design and restore them successfully in practice.

Book BOTH & SAVE £90 on this 2 day event!

LEARN MORE BELOW

15c Preserve - Aesthetic Prosthetic
from £795.00

Hands on Course + Hardback Textbook

REGISTER FOR NEW DATES

TopTierTraining